血管形成实验 —— 精通篇
39 人阅读发布时间:2025-12-10 10:25
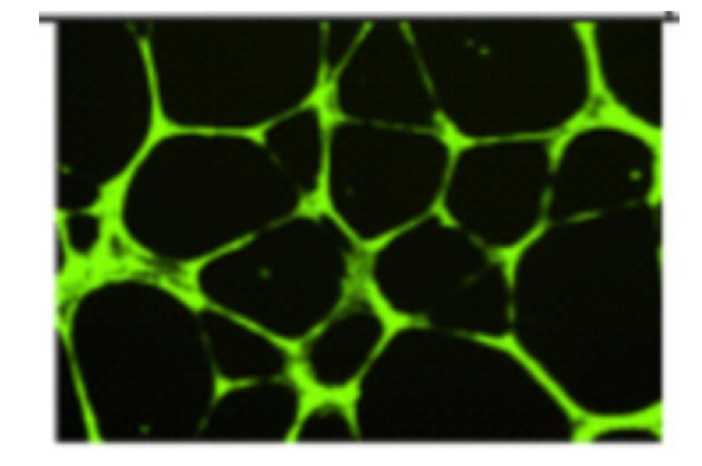
- 小心的移除孔内培养基,注意不要碰到胶或者细胞网络。
- 将 1μl 1μM 钙黄绿素 AM(Thermo,65-0853-78)加入 50μl 无血清培养,使其终浓度为 20nM。(以上体积参照 96 孔板,其他孔板需按照比例增加。)
- 在室温下避光孵育 30 分钟。
- 使用 PBS 清洗三次,注意,PBS 要缓缓加入孔,以免冲击掉细胞。
- 使用 485 nm/529 nm 进行免疫荧光成像。
注意:避免孵育时间过长,染料可能发生弥散,损伤细胞状态,影响拍摄结果。
- AngioToolSetup.exe (version 0.5, May 25, 2011)
- AngioToolSetup64.exe (version 0.6a (64 bits), October 2014)
打开安装好的 AngioTool,界面如下。

- 打开图片并调整分析参数,使黄色线贴合血管网络。

- 开始分析,分析结束会在最下方显示 Done,并展示分析的图像。相应的 excel 表格会在图片所在文件夹出现,也可以自行保存。

- 根据 Excel 表格,统计血管面积百分比(Vessels percentage area)、节点总数(Total Number of Junctions)、总血管长度(Total Vessels Length)三个指标。
-
血管新生是由原有血管形成的新血管,在器官发育、再生和肿瘤发展过程中起着重要作用。基于球体的出芽实验可用于研究遗传改变或药理化合物对原代培养内皮细胞毛细血管样小管形成的影响。该方法的主要优点是可以在三维环境中研究血管生成。内皮细胞作为悬滴培养形成球体,这些球体嵌入胶原基质,24 小时后分析管的形成。通过分析芽数和芽长,可以研究基因操作或药物处理对血管生成的影响。
与现有的血管生成模型相比,主动脉环实验有许多优点。与分离的内皮细胞不同,主动脉外植体的固有内皮细胞没有经过多次培养而改变,并保留了其原有的特性。血管生成反应可以被血管生成调节剂抑制或刺激,并通过分子或免疫化学方法进行分析,而不受血清的干扰。血管生成出芽发生在周细胞、巨噬细胞和成纤维细胞存在的情况下,不同发育阶段的新生血管的超微结构可以通过电子显微镜进行评价。血管生成反应可以随时间定量,生成微血管生长曲线。用病毒构建物转染或从转基因小鼠获得的主动脉环可用于研究特定基因产物对血管生成反应的调节作用。

资料格式:
20220617141541_64236.jpg
查看详细文档